Analyzer, Testing Equipment
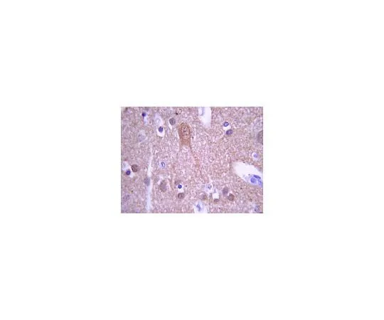
62-8445-35 Anti-Substance P, pain; 100 μL AB1566
Product Description
Product Model: 62-8445-35Product Brand: Sigma Aldrich J […]
Contact Us
Product Details
Product Model: 62-8445-35
Product Brand: Sigma Aldrich Japan(Millipore)
Spec
- Quantity:100UL
Related product recommendations
You may also be interested in the following products
61-0343-97 [Discontinued]4-Tert-Butylcyclohexyl Acetate (Cis, Trans Isomer Mixture) for Synthesis 814083 250mL 8.14083.0250
model: 61-0343-97
brand: Merck Millipore Corporation
61-0341-67 [Discontinued]1,4-Diaminobutane for Synthesis 808279 100mL 8.08279.0100
model: 61-0341-67
brand: Merck Millipore Corporation
61-4429-03 Temperature Sensor Protective Tube for CPP Type Stainless Steel 054310-2731
model: 61-4429-03
brand: SIBATA SCIENTIFIC TECHNOLOGY LTD.
61-0311-12 Sodium 1-Octanesulfonate Surfactant for Test 112292 5G 1.12292.0005
model: 61-0311-12
brand: Merck Millipore Corporation